Choose A Treatment Category
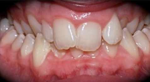
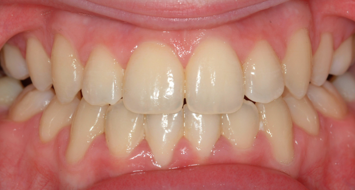
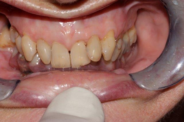
Orthodontic Cases


Treatment Type: Correction using ceramic clear brackets.


Treatment Type: Correction using metal braces.

Treatment Type: Correction using ceramic braces.

Treatment Type: Correction using ceramic braces.

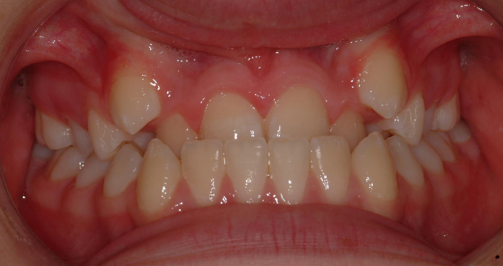
Treatment Type: Correction using ceramic braces.

Treatment Type: Correction using ceramic braces.


Treatment Type: Correction using metal braces.

Treatment Type: Correction using ceramic braces.

Treatment Type: Correction using ceramic braces.

Treatment Type: Correction using ceramic braces.

Treatment Type: Correction using ceramic braces.

Treatment Type: Correction using ceramic braces.


Treatment Type: Correction using ceramic braces.


Treatment Type: Correction using ceramic braces.
Book Consultation