Orthodontic Treatment Case Study
Extreme crowding in lower jaw plus proclined upper front teeth
Treatment Type: Ceramic Braces


Background
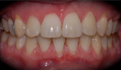
At the age of 27, Ms H decided it was the right time to straighten her teeth in order to prevent potential dental problems in the future. She had severe crowding in her lower jaw, resulting in irregular tooth positioning that made it difficult for her to maintain good oral hygiene. In addition, her upper lateral incisors were proclined (tilted outward), creating a small gap between her front teeth.
Treatment
Before starting orthodontic treatment, Ms H underwent the extraction of a premolar tooth. She was then fitted with fixed clear ceramic braces on both her upper and lower teeth, which she wore for approximately two years. After the braces were removed, a fixed retainer was bonded behind her lower front teeth to prevent them from shifting back to their original positions—a common occurrence after orthodontic treatment. This type of retainer typically consists of a thin metal bar or wire, which must be cleaned carefully to maintain good oral hygiene and avoid any related dental issues.
Outcome

