Choose A Treatment Category
Cosmetic Dental Cases


Treatment Type: Four Emax ceramic veneers by Ivolclar Vivadent AG


Treatment Type: Emax ceramic veneers by Ivolclar Vivadent AG


Treatment Type: Replacement of old veneers with eMax Ceramic veneers


Treatment Type: 10 Emax ceramic crowns by Ivolclar Vivadent AG


Treatment Type: Emax ceramic crowns by Ivolclar Vivadent AG


Treatment Type: Emax ceramic crowns by Ivolclar Vivadent AG


Treatment Type: Broken tooth repaired by the technique of bonding
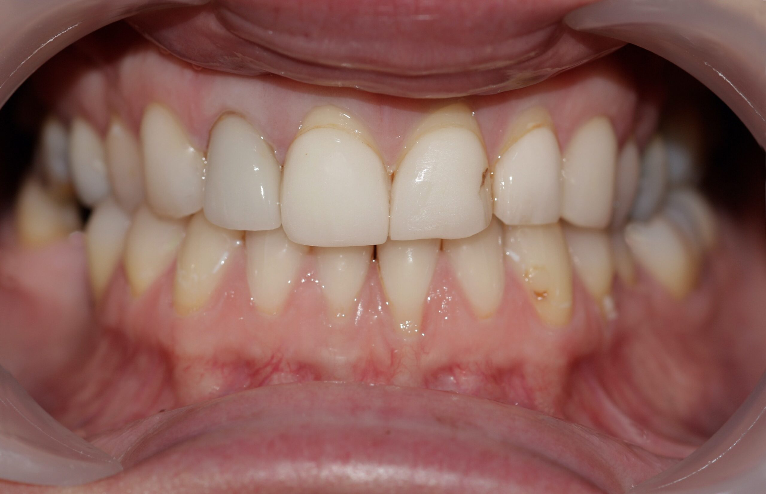
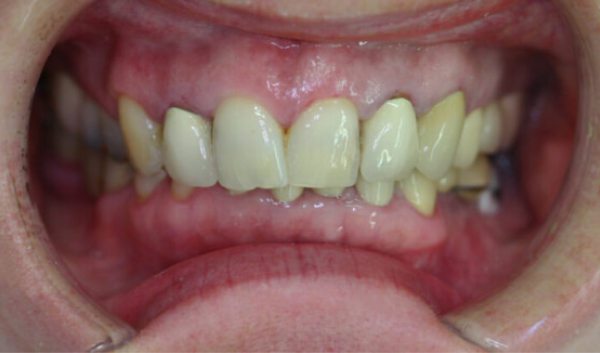
Treatment Type: Placement of four E.max veneers on the upper front teeth.


Treatment Type: Full mouth rehabilitation with vertical dimension correction.


The patient was unhappy with the appearance of his front teeth.
Treatment Type: E.max ceramic crowns by Ivoclar Vivadent.


Patient wanted to enhance her smile
Treatment Type: E.max ceramic crowns by Ivoclar Vivadent.

Description of treatment
Treatment Type: Restoration with full ceramic crown in upper jaw
