Cosmetic Dentistry Case Study
Desire to reduce the gap between the upper front teeth
Treatment Type: Four Emax Veneers in upper front teeth
Background
Mr T came to us for help before his daughter’s wedding. He had a gap in his front teeth, which he wished to make smaller while retaining this part of his character.

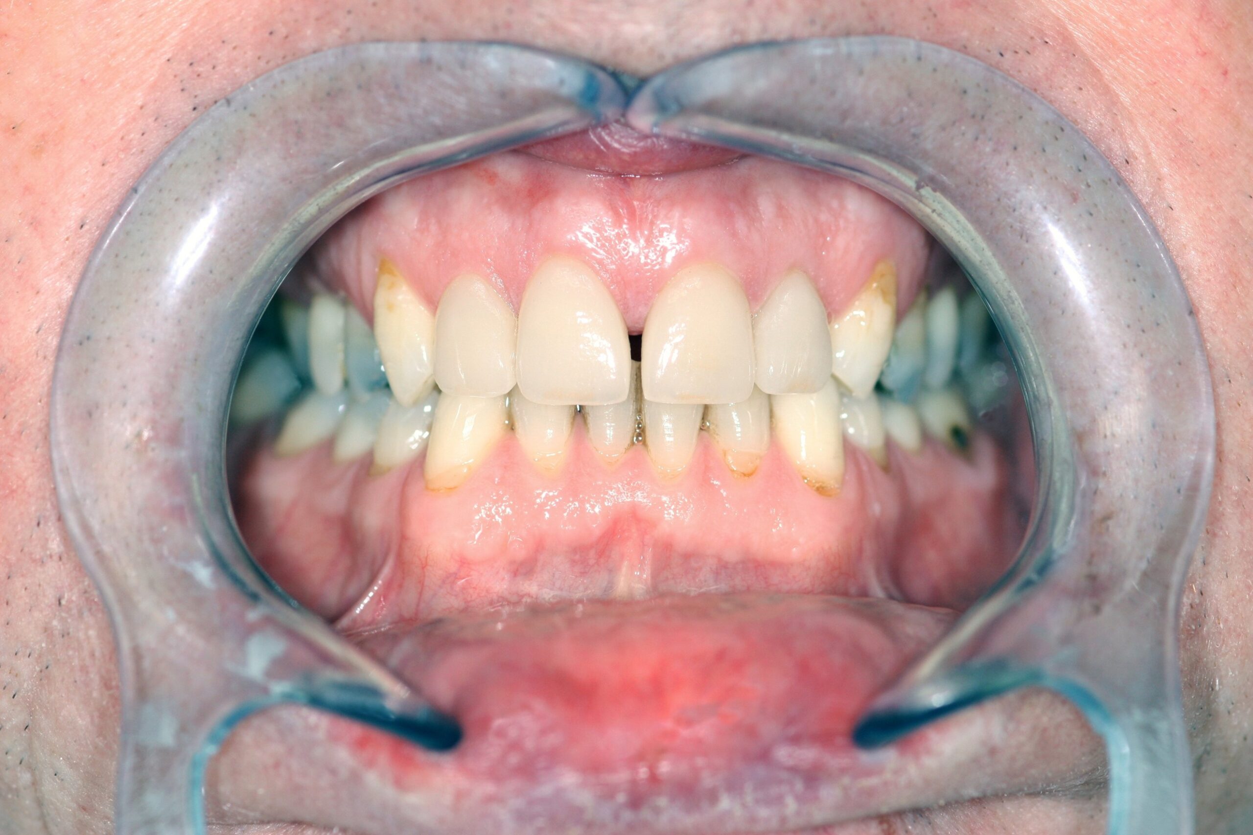
Before
Treatment Plan
Time was of the essence here. An impression of Mr T’s teeth was taken, and this was immediately sent to the dental technician for making his new teeth in wax. Mr T was rescheduled to see the wax models in a matter of days, which then gave him the opportunity to visualise the look of his new teeth. Meanwhile, after a clinical examination, and the taking of X-rays and photographs, his proposed treatment plan was discussed. At his next appointment, Mr T’s teeth were shaped, and a set of temporary veneers and crowns were made up.
These were worn as temporaries for 6 weeks, in order to see if he liked their shape and form, and also to check if he was happy with the setting. Finally, a new impression was taken and sent to our dental technician for making the final crowns and veneers.
Outcome
Mr H came to the Surbiton Smile Centre ® initially with the problem of a loose bridge. He avoided smiling as his teeth had been damaged in a rugby game several

After

After
What are Emax Veneers?

Porcelain veneers make it possible for everyone to have a beautiful smile, not just celebrities.
Porcelain veneers are wafer-thin laminates or shells of tooth-coloured ceramic material that bond directly to the front surfaces of your teeth. They are made of an extremely durable, translucent material with texture similar to tooth enamel. When bonded to the teeth, the ultra-thin veneers are virtually undetectable. Although porcelain veneers are thin, they are extremely durable and stain resistant.
If you have badly discoloured teeth that do not respond to tooth-whitening methods, then veneers can be used to brighten your teeth.
Veneers can also correct a damaged and misshapen tooth.
They are very effective too at covering cracks and chips in the enamel.
As mentioned in this case study, gaps between teeth can easily be closed using dental veneers, giving you a more uniform-