Choose A Treatment Category
Dental Implant Cases


Treatment Type: Sky fast and fixed implant (teeth in one day)


Treatment Type: Sky fast and fixed implant (teeth in one day)


Treatment Type: Mini Dental Implant


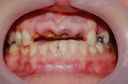
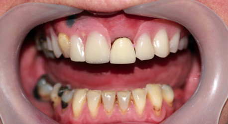
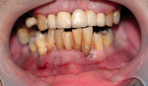
Treatment Type: Full Mouth Reconstruction





