Cosmetic Dentistry in Surbiton, Surrey
Cosmetic Dental Treatment At Surbiton Surrey
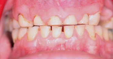
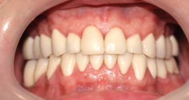
Cosmetic dentistry includes a range of procedures designed to enhance the appearance of your smile. Popular treatments such as teeth whitening, porcelain veneers, dental crowns, dental braces, dental implants, implant-supported dentures, and gummy smile reduction can be combined for a customised Smile Makeover.
We offer a variety of cosmetic dental treatments to suit your individual needs and goals. Before starting any cosmetic procedure, we perform a thorough oral health evaluation. If conditions like gum disease or a misaligned bite (malocclusion) are detected, these must be treated first to ensure long-lasting results.
Our Surbiton, Surrey Dentist Cosmetic Services
Bring Back Your Natural Smile
A beautiful smile has the power to transform your life—boosting your confidence and leaving a lasting impression on everyone you meet. With cosmetic dentistry, imperfections like discoloration, chips, or uneven teeth can be beautifully corrected. Our patients enjoy stunning, natural-looking results that enhance not just their smiles, but their self-esteem and overall appearance.







Meet your Surbiton Cosmetic Dentist
Dr. Simin Soltani
DDS . MSC . SWEDEN
Principal Dentist and founder of Surbiton Smile Centre since 2002, brings over 31 years of global experience, trained at the Karolinska Institute (Stockholm), Eastman (London), and Münster, Germany.
Specialising in cosmetic dentistry and implantology, she holds a Master’s in Oral Medicine & Implantology and is skilled in bone grafting, sinus lifts, Dental veneers, dental crowns, and full-mouth rehabilitations.
A compassionate advocate of preventive and minimally invasive care, she’s known for delivering aesthetically mindful treatments that stand the test of time.
“I’ve been visiting the team at SSC for 9 months or so. My treatment included a front tooth implant plus upper and lower alignment. From start to finish the team were fantastic – especially good with appointment times, availability and patient communication. I’ve recently concluded my treatment and I couldn’t be happier with the results. I’d highly recommend to someone looking for first class cosmetic dental treatment. Thank you Simin, Theo, Claudia, Fernanda and Wendy.”
“Really happy with this practice – Dr Soltani is lovely and a very good dentist. Waiting times are close to none and the staff are professional and friendly. I did a teeth whitening treatment with the Enlighten method and worked amazingly.”
“She was brilliant. She explained exactly what she was doing. Reassured me thoroughly and I felt at ease. Considering it was Good Friday and in the evening, the price was very fair. If you are in need of a Dentist, then definitely call them.”
I had my Invisalign treatment here and am very pleased with the results. This was with the recommendation of Sure Smile aligners which have worked well. Special thanks to resident orthodontist Theo, Simin and the rest of the team as they are all very professional and friendly.
Dr Soltani and her team at Surbiton Smile Centre has given me exceptional service over the last 5 years. The whole team are highly experienced as well as very friendly. I have done an implant, a crown and braces – all treatments were of first-class. I will certainly continue to let them look after my dental health and strongly recommend Surbiton Smile Centre!
I have been going to Surbiton Smile Centre for nearly 20 years, that is surely testament to their service, friendliness, advice and overall experience. Fine fine work Simin and Wendy!
Dr Simin Soltani and the Surbiton Smile Centre team have been world class. The professionalism, quality of treatment, and customer experience have been exemplary.
I needed quite a bit of dental work so went to a few different surgeries to get their opinions. I chose Surbiton Smile Centre because Dr Soltani actually gave me options – all of which would work to varying degrees and, significantly, to varying costs. She took the time to try the most cost-effective option, but always with the possibility of shifting course if needed. Eventually, to get my teeth decently functional, I needed quite a few crowns – including on front teeth. She allowed me time to get used to the adjustments as the process went on, and always made sure each stage was both comfortable and looked good. I am very pleased with the result, again both aesthetically and functionally. Would most heartily recommend!
I recommend my dentist, Simin with the highest regard. Over the years, she has transformed my problematic mouth to a smile of stable, healthy teeth.
Simin has restored an old implant for me and also inserted a new one. She has helped me with crowns and also replaced old black fillings with natural looking white ones. Simin has always been very professional, kind and helpful.
Thank you Simin!
I have been going to Surbiton Smile Centre for approximately 5 years. The service, treatments and team are exceptional. Simin Soltani, the principal dentist is amazing, her work is to a very high standard, and she makes you feel at ease. My teeth have never been as healthy since I joined the practice. I would highly recommend Surbiton Smile Centre and Simin to anyone. The best Dentist in Surbiton!
Easily the most outstanding dental practice I have ever visited. Simin, Fernanda, Theo and Wendy provide personalised service and make you feel extremely welcome and well cared for. This team really cares about getting great results for their clients and go above and beyond. I have received dental, orthodontic and hygienist services and they have all been amazing. Would strongly recommend.
I would highly recommend to anyone to visit Surbiton Smile Centre, especially to people with dental complications in need of a cosmetic treatment to regain a confident smile. After a consultation with the knowledgeable team at Surbiton Smile Centre I was confident that having my treatment done as they also have a team that can translate make easy to understand. I had implant and cosmetic veneer treatment I have had dental work, check-ups and teeth cleaning done at Surbiton Smile Centre. I highly recommend Surbiton Smile Centre for their expert treatment, friendly staff, great service, and reasonable prices. All my friends and family have commented on my fantastic new teeth and my partner had treatment at Surbiton Smile Centre because I told her of my positive experience. I cannot thank Dr Simin and all team Surbiton Smile Centre
Frequently Asked Questions On Cosmetic Dental Treatment
Book Consultation
