Adult Orthodontist in Surbiton, Surrey
Orthodontic Adult Braces & Aligners in Surbiton, Surrey
Dental Braces Options At Surbiton Orthodontist
Orthodontic treatment in Surbiton offers a range of options to suit different needs—whether you’re seeking a straighter smile, better chewing function, or improved oral hygiene. Many of our Surrey patients choose to include orthodontics as part of a comprehensive dental care plan. We work closely with other dental specialists to ensure your treatment enhances both function and aesthetics.
Adult Fixed Orthodontic Dental Braces by Surbiton Orthodontist
Lingual Braces
Lingual braces are a type of orthodontic treatment placed on the inner surface of the teeth, making them virtually invisible from the outside. They work like traditional metal braces but are custom-made for each patient. Lingual braces are ideal for adults or professionals seeking discreet treatment. They can correct complex cases, including bite issues and crowding. However, they may cause temporary speech difficulty and take time to get used to.
Ceramic & Metal Braces
Ceramic Braces use tooth-colored or clear brackets that blend with your teeth, making them less noticeable than metal braces. They function like traditional braces and are suitable for treating a wide range of alignment issues. Often chosen by image-conscious teens and adults, they are more fragile and slightly larger than metal brackets. Treatment may take a bit longer than with metal braces. Extra care is needed to avoid staining the brackets or elastic ties.
Metal Braces are the most common and traditional type of orthodontic treatment. They use stainless steel brackets and wires to gradually move teeth into place. Highly durable and effective for even the most complex cases. Modern versions are smaller and more comfortable than older styles. They are often the fastest and most cost-effective option available.
Aligners / Removable Braces by Adult Orthodontist in Surbiton
Invisalign
Straighten your smile discreetly with Invisalign in Surbiton. Our expert Surbiton orthodontist offers custom clear aligners that are nearly invisible, comfortable, and removable—perfect for busy lifestyles. Book your free consultation today and discover a modern, flexible way to achieve beautifully aligned teeth.
Sure Smiles
Achieve a precise, confident smile with SureSmile in Surbiton. Our specialist Surbiton orthodontist uses advanced 3D technology and custom wires to deliver faster, more accurate tooth movement. SureSmile braces combine innovation and comfort for beautifully aligned results—start your journey today with a personalised consultation.
Inman Aligners
Inman Aligners are a removable orthodontic appliance designed to quickly straighten front teeth. They use gentle pressure from spring-loaded bars to move teeth into position, typically within 6–18 weeks. Ideal for mild to moderate crowding or relapse cases, especially in adults. Treatment is fast, cost-effective, and minimally invasive. However, they are not suitable for complex orthodontic issues.
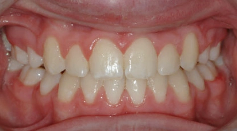
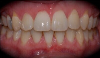
Bring Back Your Natural Smile
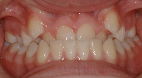
A confident smile can transform everything—from how you feel to how the world sees you. With personalised orthodontic treatment, crooked teeth, gaps, and bite issues become a thing of the past. Our patients enjoy life-changing results that enhance not just their smiles, but their confidence too.






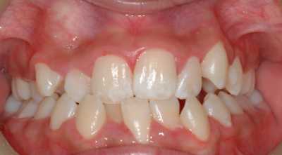
Braces or Aligners: Not Just for Looks
Braces or aligners aren’t just for looks—they can also improve your oral health, bite function, and long-term comfort. You might need orthodontic treatment if you notice any of the following:
Orthodontic treatment can improve your smile, bite, and long-term oral health. You may benefit from braces or aligners if you have:
- Crooked, crowded, or gapped teeth
- An overbite, underbite, or crossbite
- Jaw pain, clicking, or discomfort when chewing
- Trouble speaking or eating
- Teeth shifting after previous treatment
- Difficulty cleaning teeth due to alignment issues
A consultation with a specialist orthodontist is the best way to find out if treatment is right for you.


Meet your Orthodontist
Dr Theo Swanepoel
M.S.D. South Africa, UK
With over 28 years of orthodontic experience, Dr. Swanepoel is dedicated to providing expert, evidence-based care for adults. Specialising in modern treatments like Invisalign, Win Lingual, and self-ligating braces, he ensures a comfortable, positive experience. Since 1998, Dr. Dr. Swanepoel has combined hands-on expertise with advanced training to deliver personalised adult orthodontic solutions that help every patient achieve a confident smile.
“I’ve been visiting the team at SSC for 9 months or so. My treatment included a front tooth implant plus upper and lower alignment. From start to finish the team were fantastic – especially good with appointment times, availability and patient communication. I’ve recently concluded my treatment and I couldn’t be happier with the results. I’d highly recommend to someone looking for first class cosmetic dental treatment. Thank you Simin, Theo, Claudia, Fernanda and Wendy.”
“Really happy with this practice – Dr Soltani is lovely and a very good dentist. Waiting times are close to none and the staff are professional and friendly. I did a teeth whitening treatment with the Enlighten method and worked amazingly.”
“She was brilliant. She explained exactly what she was doing. Reassured me thoroughly and I felt at ease. Considering it was Good Friday and in the evening, the price was very fair. If you are in need of a Dentist, then definitely call them.”
I had my Invisalign treatment here and am very pleased with the results. This was with the recommendation of Sure Smile aligners which have worked well. Special thanks to resident orthodontist Theo, Simin and the rest of the team as they are all very professional and friendly.
Dr Soltani and her team at Surbiton Smile Centre has given me exceptional service over the last 5 years. The whole team are highly experienced as well as very friendly. I have done an implant, a crown and braces – all treatments were of first-class. I will certainly continue to let them look after my dental health and strongly recommend Surbiton Smile Centre!
I have been going to Surbiton Smile Centre for nearly 20 years, that is surely testament to their service, friendliness, advice and overall experience. Fine fine work Simin and Wendy!
Dr Simin Soltani and the Surbiton Smile Centre team have been world class. The professionalism, quality of treatment, and customer experience have been exemplary.
I needed quite a bit of dental work so went to a few different surgeries to get their opinions. I chose Surbiton Smile Centre because Dr Soltani actually gave me options – all of which would work to varying degrees and, significantly, to varying costs. She took the time to try the most cost-effective option, but always with the possibility of shifting course if needed. Eventually, to get my teeth decently functional, I needed quite a few crowns – including on front teeth. She allowed me time to get used to the adjustments as the process went on, and always made sure each stage was both comfortable and looked good. I am very pleased with the result, again both aesthetically and functionally. Would most heartily recommend!
I recommend my dentist, Simin with the highest regard. Over the years, she has transformed my problematic mouth to a smile of stable, healthy teeth.
Simin has restored an old implant for me and also inserted a new one. She has helped me with crowns and also replaced old black fillings with natural looking white ones. Simin has always been very professional, kind and helpful.
Thank you Simin!
I have been going to Surbiton Smile Centre for approximately 5 years. The service, treatments and team are exceptional. Simin Soltani, the principal dentist is amazing, her work is to a very high standard, and she makes you feel at ease. My teeth have never been as healthy since I joined the practice. I would highly recommend Surbiton Smile Centre and Simin to anyone. The best Dentist in Surbiton!
Easily the most outstanding dental practice I have ever visited. Simin, Fernanda, Theo and Wendy provide personalised service and make you feel extremely welcome and well cared for. This team really cares about getting great results for their clients and go above and beyond. I have received dental, orthodontic and hygienist services and they have all been amazing. Would strongly recommend.
I would highly recommend to anyone to visit Surbiton Smile Centre, especially to people with dental complications in need of a cosmetic treatment to regain a confident smile. After a consultation with the knowledgeable team at Surbiton Smile Centre I was confident that having my treatment done as they also have a team that can translate make easy to understand. I had implant and cosmetic veneer treatment I have had dental work, check-ups and teeth cleaning done at Surbiton Smile Centre. I highly recommend Surbiton Smile Centre for their expert treatment, friendly staff, great service, and reasonable prices. All my friends and family have commented on my fantastic new teeth and my partner had treatment at Surbiton Smile Centre because I told her of my positive experience. I cannot thank Dr Simin and all team Surbiton Smile Centre
Book Consultation
