Comprehensive dental implants in Surbiton, Surrey
At Surbiton Smile, we restore confidence and function with expertly placed dental implants. Led by Dr. Soltani, our team offers natural-looking, long-lasting solutions for missing teeth — whether it’s one, several, or a full set. We provide a range of options, including traditional, mini, and denture-retained implants, tailored to your needs and lifestyle.
What Is A Dental Implant?
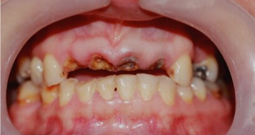
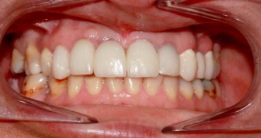
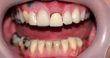
A dental implant is a small titanium post that is surgically placed into the jawbone to replace the root of a missing tooth. Once the implant has fused with the bone, a crown, bridge, or denture is attached to restore the appearance and function of the tooth. Dental implants are a durable, long-term solution that looks and feels like natural teeth.
Single Tooth Missing – Dental Implant Solution
Replace a single missing tooth with a natural-looking dental implant that blends seamlessly with your smile. Our implant acts like a real tooth root, restoring full function and appearance without affecting surrounding teeth.
Multiple Tooth Implants – Dental Implant Solution
If you’re missing several teeth, dental implants can securely support a bridge or partial denture. This restores chewing ability and prevents shifting teeth, offering a stable, long-term solution.
All Teeth Missing – Implant Retained Denture
For full-mouth restoration, we offer implant-retained dentures or full arch implants. These options provide a secure, comfortable fit, no slipping, no adhesives, just a confident, functional smile.
Bring Back Your Natural Smile
A smile can change everything—from the way you feel about yourself to the way others see you. With dental implants, gaps and missing teeth are no longer something you have to hide. Our patients experience life-changing results that restore not only their smiles but also their confidence







Benefits of Getting Dental Implants in Surbiton
Dental implants offer a permanent, natural-looking solution for missing teeth. Unlike dentures or bridges, they provide superior comfort, stability, and aesthetic appeal—now available right here in Surbiton.
- Eat and Speak with Confidence – Implants function like real teeth, restoring full chewing ability and clear speech.
- Prevent Bone Loss – They stimulate the jawbone, helping to maintain your natural facial shape.
- Support Jaw Health – Keep your jaw strong and healthy for the long term.
- Restore Your Smile – Custom-crafted to match your natural teeth for a seamless look.
We Use Cutting-Edge 3D Scans to Plan Your Dental Implants in Surbiton
With the power of CBCT 3D imaging, Dr. Soltani gains a detailed, three-dimensional view of your oral structures, enabling precise diagnosis and a treatment plan tailored specifically to you. Our commitment to advanced technology ensures efficient, accurate care and long-lasting results, especially for dental implants.
Dental Implant Procedure in Surbiton
Step-by-Step
Who is a Candidate For Dental Implants in Surbiton, Surrey?
Tooth implants are an excellent solution for many, but an ideal candidate typically has:
- Strong Oral and General Health – Healthy gum tissue and sufficient jawbone are essential to support the implant.
- Good Dental Care Habits – Consistent brushing, flossing, and routine dental check-ups help ensure the implant lasts.
- Does Not Smoke or Is Ready to Stop – Tobacco use can interfere with healing and increase the risk of complications.
- Stable Oral Condition – Any existing gum disease or infections should be resolved before getting an implant.
- Healthy Lifestyle and Healing Ability – A well-functioning immune system and properly managed health conditions promote better healing after the procedure.
After Care of Dental Implants
Maintaining a dental implant is simple and follows much of the same routine as caring for your natural teeth. These steps can help keep your implant healthy and functioning for years to come:
- Brush and Floss Consistently – Keeping the area clean is essential. Brush at least twice a day and floss daily to prevent plaque buildup and protect the gum tissue surrounding the implant.
- Keep Up with Dental Checkups – Regular visits allow your dentist to monitor the implant and make sure your gums and bone remain healthy. Early detection of any issues ensures long-term success.
- Avoid Excessive Force or Hard Foods – While implants are strong, chewing ice, biting hard candies, or using your teeth as tools can put them at risk. Also avoid habits like pencil chewing or nail biting.
- Consider Using a Water Flosser or Interdental Brush – These tools can help clean around the implant more effectively, especially in hard-to-reach areas.
- Protect Against Grinding (Bruxism) – If you clench or grind your teeth, wearing a night guard can help prevent wear or damage to your implant and other teeth.
With daily care and a bit of attention, your dental implant can remain stable, strong, and natural-looking for decades, helping you maintain both your smile and your confidence
Meet your Dentist
Dr. Simin Soltani
DDS . MSC . SWEDEN
Principal Dentist and founder of Surbiton Smile Centre since 2002, brings over 31 years of global experience, trained at the Karolinska Institute (Stockholm), Eastman (London), and Münster, Germany.
Specialising in cosmetic dentistry and implantology, she holds a Master’s in Oral Medicine & Implantology and is skilled in bone grafting, sinus lifts, Dental veneers, dental crowns, and full-mouth rehabilitations.
A compassionate advocate of preventive and minimally invasive care, she’s known for delivering aesthetically mindful treatments that stand the test of time.

“I’ve been visiting the team at SSC for 9 months or so. My treatment included a front tooth implant plus upper and lower alignment. From start to finish the team were fantastic – especially good with appointment times, availability and patient communication. I’ve recently concluded my treatment and I couldn’t be happier with the results. I’d highly recommend to someone looking for first class cosmetic dental treatment. Thank you Simin, Theo, Claudia, Fernanda and Wendy.”
“Really happy with this practice – Dr Soltani is lovely and a very good dentist. Waiting times are close to none and the staff are professional and friendly. I did a teeth whitening treatment with the Enlighten method and worked amazingly.”
“She was brilliant. She explained exactly what she was doing. Reassured me thoroughly and I felt at ease. Considering it was Good Friday and in the evening, the price was very fair. If you are in need of a Dentist, then definitely call them.”
I had my Invisalign treatment here and am very pleased with the results. This was with the recommendation of Sure Smile aligners which have worked well. Special thanks to resident orthodontist Theo, Simin and the rest of the team as they are all very professional and friendly.
Dr Soltani and her team at Surbiton Smile Centre has given me exceptional service over the last 5 years. The whole team are highly experienced as well as very friendly. I have done an implant, a crown and braces – all treatments were of first-class. I will certainly continue to let them look after my dental health and strongly recommend Surbiton Smile Centre!
I have been going to Surbiton Smile Centre for nearly 20 years, that is surely testament to their service, friendliness, advice and overall experience. Fine fine work Simin and Wendy!
Dr Simin Soltani and the Surbiton Smile Centre team have been world class. The professionalism, quality of treatment, and customer experience have been exemplary.
I needed quite a bit of dental work so went to a few different surgeries to get their opinions. I chose Surbiton Smile Centre because Dr Soltani actually gave me options – all of which would work to varying degrees and, significantly, to varying costs. She took the time to try the most cost-effective option, but always with the possibility of shifting course if needed. Eventually, to get my teeth decently functional, I needed quite a few crowns – including on front teeth. She allowed me time to get used to the adjustments as the process went on, and always made sure each stage was both comfortable and looked good. I am very pleased with the result, again both aesthetically and functionally. Would most heartily recommend!
I recommend my dentist, Simin with the highest regard. Over the years, she has transformed my problematic mouth to a smile of stable, healthy teeth.
Simin has restored an old implant for me and also inserted a new one. She has helped me with crowns and also replaced old black fillings with natural looking white ones. Simin has always been very professional, kind and helpful.
Thank you Simin!
I have been going to Surbiton Smile Centre for approximately 5 years. The service, treatments and team are exceptional. Simin Soltani, the principal dentist is amazing, her work is to a very high standard, and she makes you feel at ease. My teeth have never been as healthy since I joined the practice. I would highly recommend Surbiton Smile Centre and Simin to anyone. The best Dentist in Surbiton!
Easily the most outstanding dental practice I have ever visited. Simin, Fernanda, Theo and Wendy provide personalised service and make you feel extremely welcome and well cared for. This team really cares about getting great results for their clients and go above and beyond. I have received dental, orthodontic and hygienist services and they have all been amazing. Would strongly recommend.
I would highly recommend to anyone to visit Surbiton Smile Centre, especially to people with dental complications in need of a cosmetic treatment to regain a confident smile. After a consultation with the knowledgeable team at Surbiton Smile Centre I was confident that having my treatment done as they also have a team that can translate make easy to understand. I had implant and cosmetic veneer treatment I have had dental work, check-ups and teeth cleaning done at Surbiton Smile Centre. I highly recommend Surbiton Smile Centre for their expert treatment, friendly staff, great service, and reasonable prices. All my friends and family have commented on my fantastic new teeth and my partner had treatment at Surbiton Smile Centre because I told her of my positive experience. I cannot thank Dr Simin and all team Surbiton Smile Centre
Looking for Dental Implants Near Surbiton? We Can Help
Frequently Asked Questions About Dental Implant in Surbiton
Book Consultation
