Dental Implant Case Study
Patient wanted to have teeth in one day
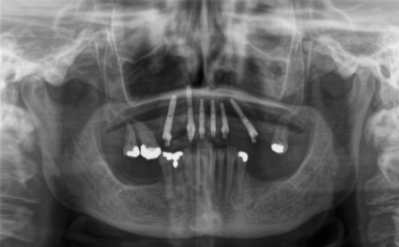
Treatment Type: Sky Fast & Fix Implants( Teeth In One Day)


Background
Mrs C thought she was too young for dentures. In the past the gaps between her teeth were originally closed by bridges. However, the teeth used to maintain the bridges in place had over time gradually degraded through excess loading and decay under the bridges. Mrs C could only just about eat with her clasp-retained denture.
Treatment Plan
A Treatment Plan for Mrs C was devised using the SKY ‘Fast and Fixed’ system. Six implants in the upper jaw were inserted (known as All-on-six) and in a similar manner four implants were also fixed to her lower jaw (All-on-four) to secure a full set of new teeth on a fixed bridge in JUST 1 DAY! The advantages of using this technique for Mrs C were several:
- Mrs C had new teeth in only one day (No one needs to be aware of the treatment.)
- The function aesthetics for her were maintained right from day one.
- Mrs C avoided a long treatment plan that can extend, using other techniques to several months or possibly years.
- All the initial extractions, implant surgery and fixing of teeth were performed at the same occasion.
- Complex grafting such as sinus grafts (increasing the amount of bone in the upper jaw) or nerve repositioning in the lower jaw or onlay grafting (using material taken from the patient’s own body) was avoided.
- Due to the reduction in treatment time, the cost for Mrs C was significantly lower.
Prior to the day of her surgery, some low-dose X-rays of Mrs C’s jaw were taken, followed by a CT scan. The latter provided our dentist with information regarding her bone quality, position of her nerves and sinuses. On the actual day, the surgery was performed under local anaesthetic, with the implant placement and any extractions taking about 2 hours for each jaw. Later in the day a temporary bridge (full arch fixed prothesis) was attached to the dental implants. This provisional restoration of her teeth meant that no one noticed the treatment. The bridge, although temporary, looked very natural, since our dentist had taken care refining the bite and aesthetics. Before going home Mrs C booked a review appointment with us for a fortnight later. This was to check that all is well and to see if any minor modifications were needed.
(After the placement of the implants it is usual to have a period of five to six months to allow for integration and healing with the jaw bone. Then the permanent bridge was made and fitted.)
Outcome
Tooth loss is possible at any stage of life, whether when young after a traumatic accident or in later years due to age. For many patients with conventional dentures a carefree smile is sadly just a dream, but for Mrs C it is now a reality.
Note:
- There are a number of branded systems that have been developed by Dental companies. The most well-known system that does not limit itself to four implants was developed by the German company Bredent. Their method is called ‘Fast and Fixed’ and uses the SKY implant system, which has been adopted by the Surbiton Smile Centre ®.
- Not all patients are suitable for this one-day treatment. This will be discussed at the consultation stage and if appropriate alternative treatments will be proposed.
