Dental Implant Case Study
Fixing a poor fitting denture due to a lack of jawbone
Treatment Type: Pin implants and over dentures

Background
Mr H had a set of poor fitting dentures due to a lack of bone in both his upper and lower jaw. He did not wish to have bone grafting to make up for this loss.
Treatment Plan
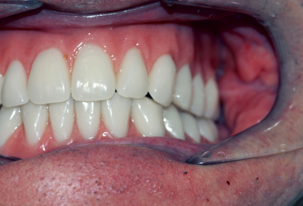
The Treatment Plan for Mr H was devised such that six implants in the upper jaw were inserted to produce a locator framework for the upper over denture. In a similar manner six implants were also fixed to his lower jaw thus providing a further locator system for his lower over denture.
A new set of dentures were made to fit in with the installed locator system, using a ball attachment for the abutment. This secures the dentures in place but also allows for their removal.

Five implants in Lower Jaw fitted

Five implants in Lower Jaw fitted
Outcome
It should be added that an advantage to Mr H with this treatment, is that an implant retained denture is much smaller than an ordinary denture thus restoring his ability to taste food and thereby enjoy life more.
For more information on implant retained dentures, please refer to Dental Implant Case Study 2.
If you are confident with your smile, you can eat, and talk to your heart’s content.

