Dental Implant Case Study
Three teeth were fractured in a sports accident
Treatment Type: Extraction of broken teeth, Orthodontics, Hygiene & dental implant treatment had carried out. The missing teeth replaced by dental Implant and all broken and worn back teeth restored by ceramic restoration /Cosmetic Procedures


Background
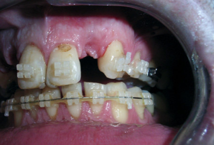
Mr H came to the Surbiton Smile Centre ® initially with the problem of a loose bridge. He avoided smiling as his teeth had been damaged in a rugby game several years previously causing his front teeth to be shunted forward. He had also lost a tooth on the upper right side, which had been replaced by a cantilever bridge supported by his top-right canine.
Unfortunately, this canine was fractured, and the entire bridge fell out. Upon examination it was found that his upper-left incisor was also infected and needed to be extracted. Mr H had developed the habit of clenching his teeth, which had over the years, worn down the surfaces of all his teeth.
Treatment Plan
Taking time to talk with Mr H, he revealed that he did not like the appearance of his teeth. He said that he tried to stop himself smiling and always made sure that he kept his lips closed when he talked. Mr H asked if there was any way to improve the look of his teeth. He was aware that he had not smiled for a long time. Mr H was assured that it was possible to restore his teeth and give him, once again, a healthy, natural smile.
A cost-effective Treatment Plan was devised that took into consideration his wishes and budget. It was to be a multi-disciplinary procedure, which would require a long-term commitment from Mr H, but would in the end fully reconstruct his mouth.

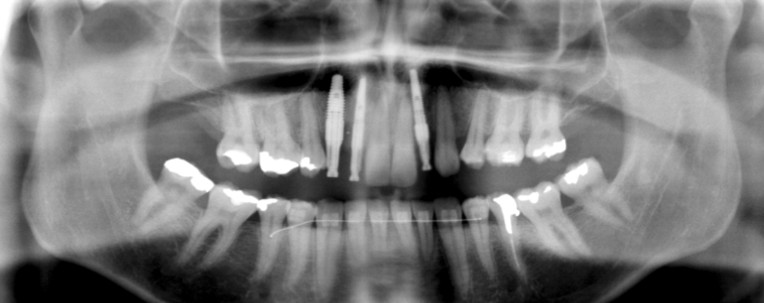
X-ray showing position of implants
Outcome
With his treatment now finally over, he has regular appointments with our hygienist four times a year and comes twice a year for a routine dental check-up. It is a great feeling for our team at the Surbiton Smile Centre ® to see our patient smiling once again with confidence, meeting our eyes and facing the world with pride.
Note:
- There are a number of branded systems that have been developed by Dental companies. The most well-known system that does not limit itself to four implants was developed by the German company Bredent. Their method is called ‘Fast and Fixed’ and uses the SKY implant system, which has been adopted by the Surbiton Smile Centre ®.
- Not all patients are suitable for this one-day treatment. This will be discussed at the consultation stage and if appropriate alternative treatments will be proposed.
