Cosmetic Dentistry Case Study
The patient was not happy with the look of her upper front teeth
Treatment Type: Emax ceramic crowns by Ivolclar Vivadent AG

Before

Bottom Jaw – Before

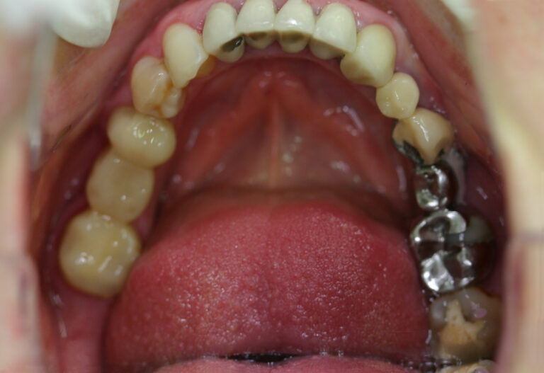
Top Jaw – Before
Treatment
The full mouth reconstruction (known as Prosthodontics) procedure began with a thorough dental examination to assess Ms E’s oral health, which included her gums (gingivea), alveolar bones (which support her teeth), the periodontal membrane (which attaches the teeth to the alveolar bone), jaw muscles, as well as the colour, shape and size of her teeth. To do this numerous X-rays, photographs and impressions of her teeth were taken.
Before the reconstruction commenced, Ms E’s healthy teeth were cleaned by the dental hygienist. Any infected or damaged teeth were treated. Likewise, any issues with gum disease were dealt with.
The reconstruction itself would recreate a balanced bite for Ms E, and used a combination of dental implants and crowns.
Outcome
In this case the time scale required was 7 months, but it in general the time needed for a full mouth reconstruction varies and can be up to a year or longer. Careful and methodical planning is the key to success with this treatment.

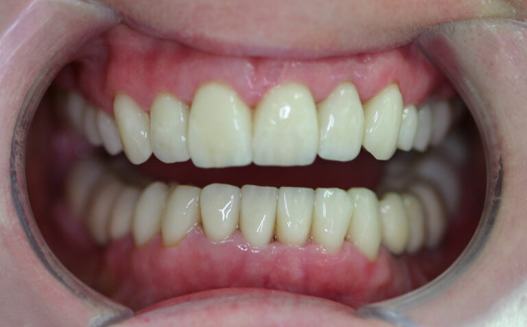
After

Bottom Jaw – After

Top Jaw – After